0212 225 66 76
0553 881 04 21
implantakademi@gmail.com
ANASAYFA
DR. ÖZGÜR ÖZTÜRK
TEDAVİLERİMİZ
PERİODONTAL (DİŞ ÇEVRE DOKULARI İÇİN) GREFT UYGULAMALARI
YUMUŞAK DOKU (DİŞETİ) OGMENTASYONLARI
SİNÜS LİFTİNG (SİNÜS KALDIRMA OPERASYONU)
İMPLANT ÖNCESİ KEMİK GREFTİ
KEMİK GREFTİ / TOZU UYGULAMALARI
KLİNİK VAKALAR
İMPLANT BLOGU
EKİBİMİZ
KLİNİK VAKALAR
İLETİŞİM
Anasayfa
Klinik Vakalar
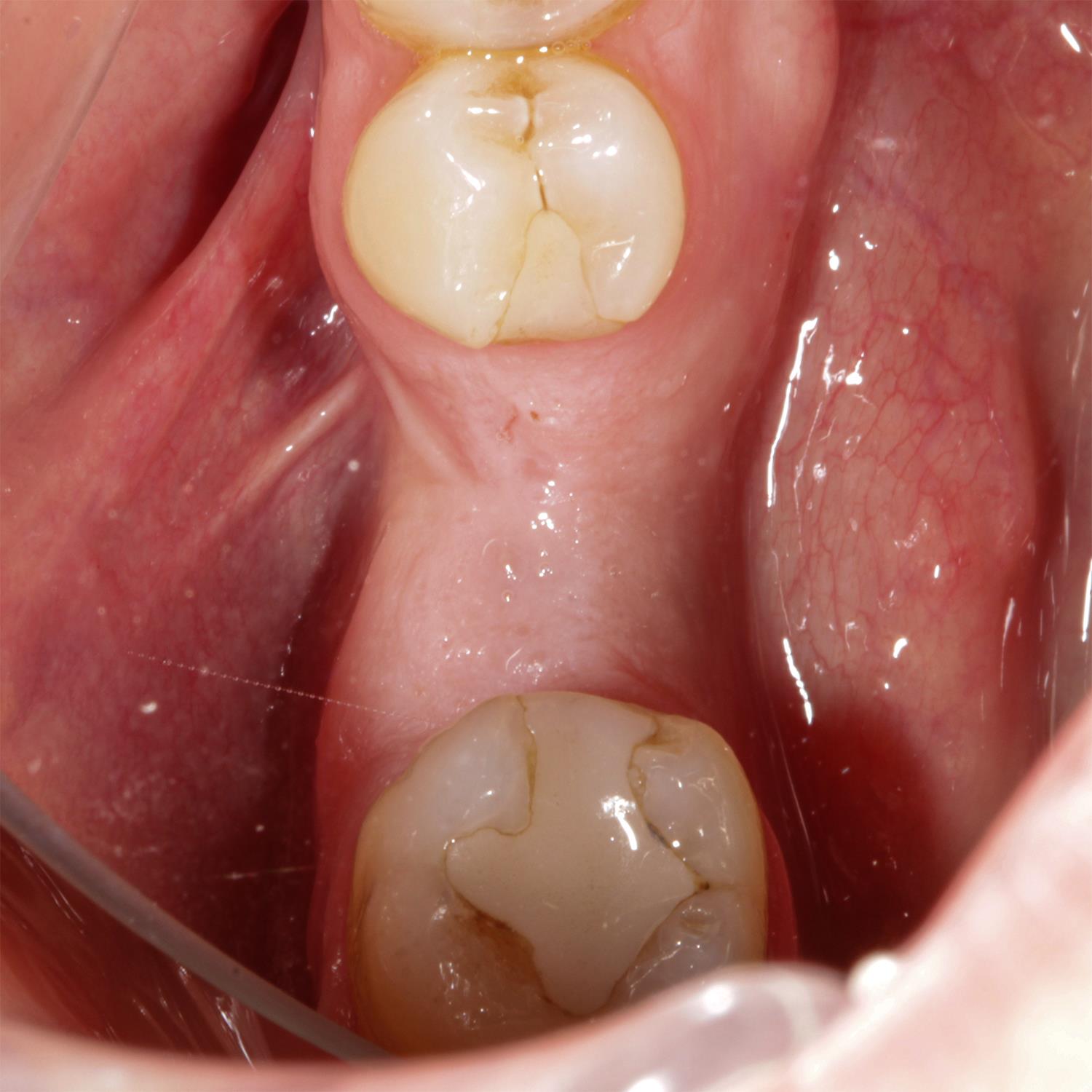
Kemik tozu ve PRF ile sert ve yumuşak doku ogmentasyonu yapıldı.
Kemik tozu ve PRF ile sert ve yumuşak doku ogmentasyonu yapıldı.